がんオルガノイド Fukushima Patient Derived Tumor Organoid (F-PDO®)とは
※F-PDO®は公立大学法人福島県立医科大学の登録商標です。
福島医薬品関連産業支援拠点化事業でがんオルガノイド(F-PDO®)を作製しました。F-PDO®は受託研究として当センターで抗がん剤の評価アッセイ等を行うことが可能です。また、有償提供し、⾃由に使うことも可能です。F-PDO®の免疫染色の受託解析やFFPE切片の提供も行います。

カタログ閲覧登録いただくと、専用ページより
F-PDO®・F-PDX® の詳細情報がご覧いただけます。
F-PDO®の遺伝子発現・遺伝子変異・抗がん剤の
感受性のデータベースを作成しました。
F-PDO®の特長
- 長期の培養が可能です。
- F-PDO®は組織学的解析、ゲノム解析、網羅的遺伝子発現解析により、元のがん組織の特徴を維持していることが確認できています。
【図A】参照 - F-PDO®を用いた抗がん剤評価は、従来の評価法と比べ、臨床をより反映した状態で抗がん剤を評価することが可能です。
【図B-1】【図B-2】参照 - F-PDO®の薬剤感受性は、元のがん組織の特徴を反映しない従来のがん細胞株とは異なります。
- 細胞外マトリックスタンパク質を用いない浮遊培養であり、培養にコストや時間が掛かりません。
- 様々なハイスループットアッセイ系を用いて臨床を反映した抗がん剤の評価が可能です。
- 一部のF-PDO® は担がんマウス作製が可能です。
- HLA型は同定済みです。
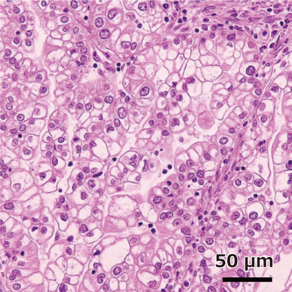
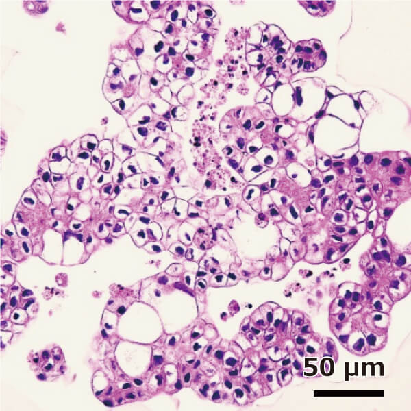
【図A】
| 子宮体がんF-PDOと元のがん組織の各種染色画像 |
|---|
F-PDOの位相差像
F-PDOのHE染色像
元のがん組織のHE染色像
元のがん組織の
HE染色像 |
【図B-1】
| RLUN010 EGFR wild | |
|---|---|
| 処理72hr後のCaspase-3/7活性 | |
| 溶媒コントロール | 25 μM Erlotinib |
![]() |
|
| Caspase-3/7活性の経時変化 | |
![]() |
|
【図B-2】
| RLUN014 EGFR L858R(感受性変異) | |
|---|---|
| 処理72hr後のCaspase-3/7活性 | |
| 溶媒コントロール | 25 μM Erlotinib |
![]() |
|
| Caspase-3/7活性の経時変化 | |
![]() |
|
F-PDO®のラインナップ(合計62系統)
系統数をクリックし、カタログデータをダウンロードできます。
カタログデータの見方はこちら
| 固形腫瘍: 60系統 | |||
|---|---|---|---|
がん種 | 系統数 | がん種 | 系統数 |
| 脳腫瘍 | 2 | 乳がん | 2 |
| 肺がん | 18 | 子宮頸がん | 2 |
| 食道がん | 1 | 子宮体がん | 8 |
| 胃がん | 1 | 卵巣がん | 10 |
| 大腸がん | 6 | 腹膜がん | 1 |
| 胆管がん | 1 | 骨腫瘍 | 1 |
| 膵がん | 2 | 軟部腫瘍 | 3 |
| 腎がん | 2 | – | – |
造血器腫瘍: 2系統 |
|||
がん種 | 系統数 |
||
| リンパ性白血病 | 2 | ||

| 卵巣がん |
|---|
|
| 子宮体がん |
|---|
|
| 肺がん |
|---|
|
| 大腸がん |
|---|
|
● 扁平上皮がん、希少がん、造血器腫瘍も含まれております。
■ 利用可能なF-PDO®のリスト
| タイトル | 形式 |
| F-PDO list | Excel |
F-PDO®の用途・使用例
- 薬効評価
- 細胞増殖阻害試験
- 細胞応答性試験 等
【細胞増殖阻害試験の例: F-PDO®の位相差像と抗がん剤感受性(既存細胞株との比較)】
臨床上パクリタキセルに耐性を示したがん組織由来のF-PDO® は、既存のがん細胞株と比較してパクリタキセルへの感受性が低い
| 肺がん |
|---|
| RLUN004 (腺扁平上皮がん) |
|
![]() |
| 肺がん |
|---|
| RLUN002-1 (腺がん) |
|
![]() |
| 卵巣がん |
|---|
| ROVA010 (明細胞腺がん) |
|
![]() |
| 子宮体がん |
|---|
| REME011 (明細胞腺がん) |
|
![]() |
F-PDO®の3D解析
3D解析を用いた形態解析
青…DAPI(核を染色)
赤…actin(細胞骨格を染色)
緑…ZO-1(タイトジャンクションを染色)

【3D動画RLUN14】
【3D動画RLUN20】
3D解析を用いた形態的定量解析
- 青…DAPI(核を染色)
緑…Ki67(増殖細胞のマーカ) - 形態情報(細胞数、容積、Ki67陽性細胞数)を算出
- 細胞塊あたりの細胞数、細胞密度、増殖細胞の比率が算出することができる。
- F-PDO®の種類により、細胞塊の大きさ、細胞密度、増殖細胞の比率はさまざまである。
| 肺がん | ||
|---|---|---|
| RLUN5 | RLUN16 | RLUN21 |
![]() |
![]() |
![]() |

HER2遺伝子の発現量
- 青…DAPI
赤…HER2(トラスツマブにより染色) - 抗体医薬陽性容積を算出
- 細胞塊のHER2は局所的に発現が見られる
- リアルタイムPCRのよるHER2遺伝子の発現量の測定では、F-PDO®間での差異は大きくなかったが、免疫染色ではF-PDO®間での発現のパターンに違いがある。
- 固形がん組織の発現パターンに近い状態であるため、F-PDO®を用いることでより良い薬効評価が行われる。
| 肺がん | ||
|---|---|---|
| RLUN5 | RLUN16 | RLUN21 |
![]() |
![]() |
![]() |

NoviSightを用いた病理マーカー解析
- 肺腺がん由来F-PDO®(RLUN14、RLUN20)と肺扁平上皮がん由来F-PDO®(RLUN16、RLUN21)を、肺腺がんマーカーのTIF1、肺扁平上皮がんマーカーのp63に対する抗体を用いて、免疫染色を行った。
- 病理診断と同様に、肺腺がん由来F-PDO®はTIF1抗体で、肺扁平上皮がん由来F-PDO®はp63抗体で染色された。
- それぞれのF-PDO®の細胞塊あたりの陽性細胞率をNoviSightを用いて算出した。その結果、有意差をもって、それぞれのマーカーに対して高い陽性率を示した。
| TTF1(肺腺がんマーカー) | |||
|---|---|---|---|
| 腺がん RLUN14 | 扁平上皮がん RLUN16 | コロイド腺がん RLUN20 | 扁平上皮がん RLUN21 |
![]() |
![]() |
![]() |
![]() |
| p63(肺扁平上皮がんマーカー) | |||
|---|---|---|---|
| 腺がん RLUN14 | 扁平上皮がん RLUN16 | コロイド腺がん RLUN20 | 扁平上皮がん RLUN21 |
![]() |
![]() |
![]() |
![]() |

これらのデータはオリンパス株式会社との共同研究により取得しました
3D解析 参考文献
Application Note
https://www.selectscience.net/application-articles/3d-analysis-of-patient-derived-tumor-organoids-using-novisight-analysis-software/?artid=49809
■ F-PDO®を用いた抗がん剤評価
| タイトル | 形式 |
| F-PDO®を用いた抗がん剤評価_スライド |
● F-PDO®とは
● F-PDO®を用いたアッセイ系の構築
● F-PDO®の抗がん剤感受性プロファイリング
- 化学療法剤への感受性
- 分子標的薬への感受性
- がん細胞株との感受性の違い
● F-PDO®を用いた抗体医薬品の評価
- 抗体の細胞増殖阻害評価
- 抗体薬物複合体(ADC)の細胞増殖阻害評価
● F-PDO®を用いた免疫反応の評価
- 免疫細胞を用いたがん細胞への障害活性の評価
- 抗体依存性細胞障害活性(ADCC活性)の評価
- 免疫チェックポイント阻害剤の評価
- 二重特異性抗体の評価
● F-PDO®を用いたアッセイの今後の展開
- 遺伝子改変F-PDO®
- F-PDO®を用いた動物モデル
■ 関連資料
■ ウェビナー
| タイトル | リンク先 |
|---|---|
| がんオルガノイドを用いた抗がん剤の評価 | コーニング株式会社 |
| 患者由来がんオルガノイド(F-PDO®)を用いた 抗がん剤評価システム |
株式会社オンチップ・バイオテクノロジーズ ヤマハ発動機株式会社 |
■ 参考文献
■ High-Throughput In Vitro Assay using Patient-Derived Tumor Organoids. Higa et al., J Vis Exp, 172, e62668 (2021)
https://www.jove.com/t/62668/high-throughput-in-vitro-assay-using-patient-derived-tumor-organoids
この論文はビデオジャーナルで、F-PDOのアッセイの動画を視聴できます。
患者由来の腫瘍オルガノイド(PDO)は、従来の細胞培養モデルよりも疾患の再現性に優れた前臨床がんモデルとして期待されています。PDOは、腫瘍組織の構造や機能を正確に再現し、さまざまなヒト腫瘍から樹立することに成功しています。しかし、PDOはサイズが不均一で、培養中に大きなクラスターを形成するため、抗がん剤を評価する際に96ウェルや384ウェルプレートを用いたハイスループットアッセイシステム(HTS)や細胞解析には適していません。また、これらの培養やアッセイでは、マトリゲルなどの細胞外マトリックスを用いて腫瘍組織の足場を作る必要があります。そのため、PDOはスループットが低く、コストも高いため、適切なアッセイシステムを開発することが困難です。この問題を解決するために、我々が樹立したF-PDOを用いて、抗がん剤や免疫療法の効果を評価可能で、よりシンプルで精度の高いHTSを確立しました。
■ Construction of in vitro patient‑derived tumor models to evaluate anticancer agents and cancer immunotherapy. Takahashi et al., ONCOLOGY LETTERS, 21, 406 (2021)
https://www.spandidos-publications.com/10.3892/ol.2021.12667
がん組織の構造および機能を正確に再現する患者由来腫瘍オルガノイド(PDO)および患者由来腫瘍異種移植片(PDX)モデルを用いたin vitroのアッセイシステムは、従来のがん細胞株モデルよりも疾患を再現できる前臨床がんモデルとして期待されています。しかし、これらのモデルを用いて抗がん剤の評価系を構築するのは容易ではありません。そこで、本論文では、化学療法薬、分子標的薬、抗体薬を含むさまざまなクラスの抗がん剤を評価するために、PDOおよびPDXモデルを用いたシンプルなin vitroハイスループットアッセイシステムを確立することを目的とし、固形腫瘍および造血器腫瘍から樹立したPDOおよびPDXを用いて、in vitroのハイスループットアッセイシステムを構築しました。
■ An in vitro system for evaluating molecular targeted drugs using lung patient-derived tumor organoids. Takahashi et al., Cells, 8, 481 (2019).
https://www.mdpi.com/2073-4409/8/5/481
F-PDOを用いた分子標的薬の評価、F-PDO の3D解析についての論文です。
患者由来の腫瘍オルガノイド(PDO)は、従来の細胞培養モデルと比較して、がん組織の構造と機能をよりよく再現する有望な前臨床がんモデルです。
この論文では、PDOを用いて、臨床上、顕著な効果を持つ分子標的薬の有効性を評価するためのin vitroアッセイシステムを構築しました。さらに、免疫細胞と腫瘍細胞間の複雑な相互作用をモデル化して癌免疫療法の効果を評価するシステムの構築も試みました。
肺がん由来のPDOを用いて、低分子阻害剤(上皮成長因子受容体およびヒト上皮成長因子受容体2(HER2)阻害剤)、モノクローナル抗体(抗HER2モノクローナル抗体)、抗体薬物複合体など、様々なカテゴリーの分子標的薬のin vitro評価の結果を示しました。また、3D解析によりF-PDOの構造的な解析を行い、抗HER2モノクローナル抗体の抗体依存性細胞傷害性応答時の免疫細胞とPDOの相互作用を視覚化しました。さらに、免疫チェックポイント阻害薬であるニボルマブとペンブロリズマブの評価システムも開発しました。これらの結果は、PDOを使用したin vitroアッセイシステムが、病態をよりよく反映する条件下で分子標的薬を評価するのに適していることを示しています。
■ Evaluation of anticancer agents using patient-derived tumor organoids characteristically similar to source tissues. Tamura et al., Oncology Reports ,
40, 635-646 (2018).
https://www.spandidos-publications.com/or/40/2/635
F-PDOの樹立と特徴、アッセイ系の構築についての論文です。
福島医薬品関連産業支援拠点化事業で、独自技術を用いてヒトがん組織から長期培養可能かつ、元のがん組織の特徴を有した患者由来オルガノイド(F-PDO)を樹立しました。F-PDOは元のがん組織と同様の遺伝子発現プロファイルや薬剤感受性を示しました。また、不均一な形態を示すF-PDOを384well plateに均等に播種する技術を開発し、ハイスループットアッセイを可能としました。
■ 実験医学別冊 「患者由来がんモデルを用いたがん研究実践ガイド CDX・スフェロイド・オルガノイド・PDX/PDOXを網羅 臨床検体の取り扱い指針から樹立プロトコールと入手法まで」、佐々木博己/編、羊土社 ISBN 978-4-7581-2242-9 (2019)
福島PDO®を用いた抗がん剤の評価、比嘉亜里砂、高木基樹、P.124-131
https://www.yodosha.co.jp/jikkenigaku/book/9784758122429/index.html
F-PDOの培養とアッセイ系の実験方法についてまとめています。
































